20 Chepstow Road, Notting Hill, London, W2 5BD
Book Online020 8167 4185contact
Menu
  • Dental
    • Dental Check-Ups
    • Dental Hygienist
    • Airflow Teeth Polishing
    • Tooth Fillings
    • Teeth Whitening
    • Porcelain Veneers
    • Composite Bonding
    • Bite Guards
    • Snore Guard
    • Invisalign
    • Inman Aligner
    • White Tooth Fillings
    • Tooth Extraction
    • Inlays and onlays
    • Dental Implant
    • Teeth Crowns
    • Dental Bridges
    • Children’s Dentist
    • Emergency Dentist
  • Medispa
    • Wrinkle Correction Treatment
    • Masseter Botox
    • Mesotherapy for face
    • Facial Aesthetics
    • Profhilo
    • Viscoderm Hydrobooster
    • Dermal Fillers
    • Tear Trough Fillers
    • Mesotherapy for Under Eyes
    • Ellansé Fillers
    • Ultherapy
    • Microneedling
    • Chemical Peel
    • Mesotherapy for Scalp Health
    • Hair Loss Treatment
  • About
    • The-Re:Nu-experience
    • The Re:Nu Team
    • The Practice Gallery
  • Fees
    • Dental Fees
    • Medispa Fees
    • Finance
  • Testimonials
  • Before & Afters
  • Careers
  • Blog
person wearing silver-colored ring while holding denture

Private Dentist – Dentist Near Me

long black haired woman smiling close-up photography. Should I floss?

Should I Floss?

person wearing silver-colored ring while holding denture

The Ultimate Guide to Dental Implants: Answers to Your Top Questions

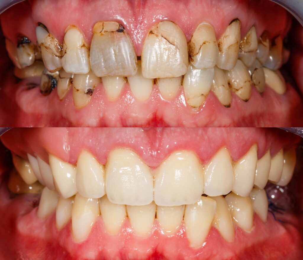
before and after treating a bad teeth

Is There Any Hope for Bad Teeth? Exploring Solutions and Treatment

a close up of a person's mouth with a dental device attached to it

Is It Worth Paying for Teeth Whitening? Weighing the Pros and Cons

FOLLOW US ON SOCIAL

Facebook
Instagram
WhatsApp

NAVIGATION

Home
About
Dental Treatments
Medispa Treatments
Charity Work
Before and After
Testimonials
Careers
Sitemaps

TREATMENTS

Dental
Medispa
Charity Work
Before and After
Fees
Testimonials
FAQ

LEGAL

Contact
Terms & Conditions
Privacy Policy
Complaints Procedure

Site Last Updated:
10 July 2024

Closest Tube Stations

In search of a dentist near Notting Hill, West London? Our dental practice is conveniently situated within the Royal Borough of Kensington & Chelsea.

Royal Oak (10 min Walk)
Notting Hill Gate (10 min Walk)
Bayswater (10 min Walk)
Queens Way ( 10 min)

Find a Dentist Near Me

Google Logo

Google Rating

4.9

Full Star Full Star Full Star Full Star Half Star
copyright2024 Re:Nu Dental & Medispa

Registered address: Re:Nu Dental & Medispa, 20 Chepstow Road, Notting Hill, London, W2 5BD.
Site Developed by Jazz

Available to chat

August Special: Introductory Offer for New Patients!
Dental Health Assessment for Only £65
(Regular Price: £130)

Learn More