
Before and Afters
![]()
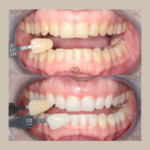
Take a look at some transformations performed by our dentists and practitioners at Re:Nu Dental & Medispa.

![]()
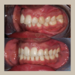
Take a look at some transformations performed by our dentists and practitioners at Re:Nu Dental & Medispa.

Posted on Zachary McConnellTrustindex verifies that the original source of the review is Google. You are greeted before entering into a room of white light and wood panelling, perhaps cedar or pine. You hear the faint sound of binaural beats, a mix of tranquil marimba and Mongolian throat singing. There are monstera plants all around. A woman with the best teeth you’ve ever seen tells you to have a seat, asks if you need water, and you begin to tell her about your life. 20 minutes go by, but you already feel as if you have narrated the entirety of your existence. Have you found yourself in a rejuvenating dream or at the gates of heaven? No, you are just at Re:Nu Dental & Medispa. Relax, you are in Dr. Rajagopal’s hands now. Latha takes a different approach to her practice than other professionals. She talks through each step in the examination and cleaning and explains what you need to do to take ownership of your dental health. I went in for a deep clean, and her touch could not have been more gentle. My teeth feel brand new. She also was able to point out other issues that I was having, identified a fracture that needed filling, and recommended a regimen to help me maintain my gum health. If you are looking for a dentist that is a consummate professional and cares about their patients, go with Re:Nu. You also will be helping the orangutans.Posted on Vi MogTrustindex verifies that the original source of the review is Google. I bike 20 minutes across London to go and see my dentist… a testimony of how good is Renu Dental team, not only for dental care, but also educating patients about good dental hygiene.Posted on Stephen MatthewsTrustindex verifies that the original source of the review is Google. Great experience at ReNu. Lovely premises, friendly staff and I left with that wonderful clean teeth feeling! Highly recommended, and Latha is a superb dentist.Posted on Giuseppe CunsoloTrustindex verifies that the original source of the review is Google. I started looking for a dentist in the area after a minor problem and I was impressed by all the positive reviews, so I decided to book an appointment. Dr. Latha was absolutely amazing from the very beginning. She not only helped me address my initial problem but also worked with me on a long-term plan to improve the overall health of my teeth and gums. Her extensive experience and knowledge show in every interaction, and she has a remarkable ability to explain each procedure and step in a way that is easy to understand. What truly sets Dr. Latha apart is her kindness and genuine care for her patients. She always puts the patient's interest first, ensuring that I felt comfortable and was well informed throughout every visit. Her compassionate nature and patient-centric approach make every appointment a pleasant experience. The results speak for themselves, I am so happy with the current health of my teeth and gums. Recently, I started wearing clear aligners, and once again, Dr. Latha has been phenomenal throughout the entire process. I couldn't be happier with the care I've received from Dr. Latha and the entire team at Re:Nu Dental. They have improved my dental health so much and provided a level of care that goes above and beyond. If you're looking for a dentist who is skilled, compassionate, and genuinely invested in your well-being, I highly recommend Dr. Latha and Re:Nu Dental.Posted on Niamh BreslinTrustindex verifies that the original source of the review is Google. Re:Nu & Latha have been amazing for me & my teeth. The clinic is very bright and inviting but also full of up to date tech and machines. Latha is so clear at explaining what needs to be done or suggesting improvements when helpful. The atmosphere is one of patient first, supportive, informative, caring and expert led. My teeth have never been better. My daughter is now also a patient and has no fear of the dentist! I couldn’t be happier with the service or results (and I’m now considering some of the non dental services offered based on my experience to date!)Posted on Elli GibsonTrustindex verifies that the original source of the review is Google. absolutely brilliant with kids. made my son feel so special and comfortable. he was actually excited to go to the dentist!Posted on Evelyn PetrouTrustindex verifies that the original source of the review is Google. I’ve been a regular customer since 2021. Dr Latha is fantastic and always makes me feel comfortable. I would highly recommend this clinic for their exceptional service. They always go above and beyond.Posted on Johannes SvanbergTrustindex verifies that the original source of the review is Google. It was a fantastic experience and clinic. Dr. Latha and her team go above and beyond in terms of service and making you comfortable. I can highly recommend it as the best dental clinic I have visited in the UK.Posted on Mahamed AliTrustindex verifies that the original source of the review is Google. My recent experience at RE:NU DENTAL & MEDISPA for a routine cleaning was absolutely fantastic. The clinic exudes a modern and welcoming atmosphere, and Dr. Latha's team was incredibly attentive and understanding throughout my visit. Dr. Latha provided a thorough yet gentle cleaning, leaving me feeling refreshed and satisfied. Compared to other experiences, this one stands out as top-notch in every aspect. I wholeheartedly recommend RE:NU DENTAL & MEDISPA for anyone seeking exceptional dental care.Google rating score: 4.9 of 5, based on 129 reviews
Re:Nu Dental & Medispa 20 Chepstow Road, Notting Hill, W2 5BD London, United Kingdom
(Click pin drop on map to direct you)
Mon 10am – 5pm
Tue 10am – 7pm
Wed 10am – 5pm
Thurs 10am – 5pm
Fri 830am – 4pm
Sat 10am – 2pm (By Appointment Only)
Sun Closed
For more information, please contact our friendly reception team who will be happy to share more
information about this with you.
